Implants
CMORE® CT System
The CMORE® CT System
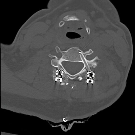
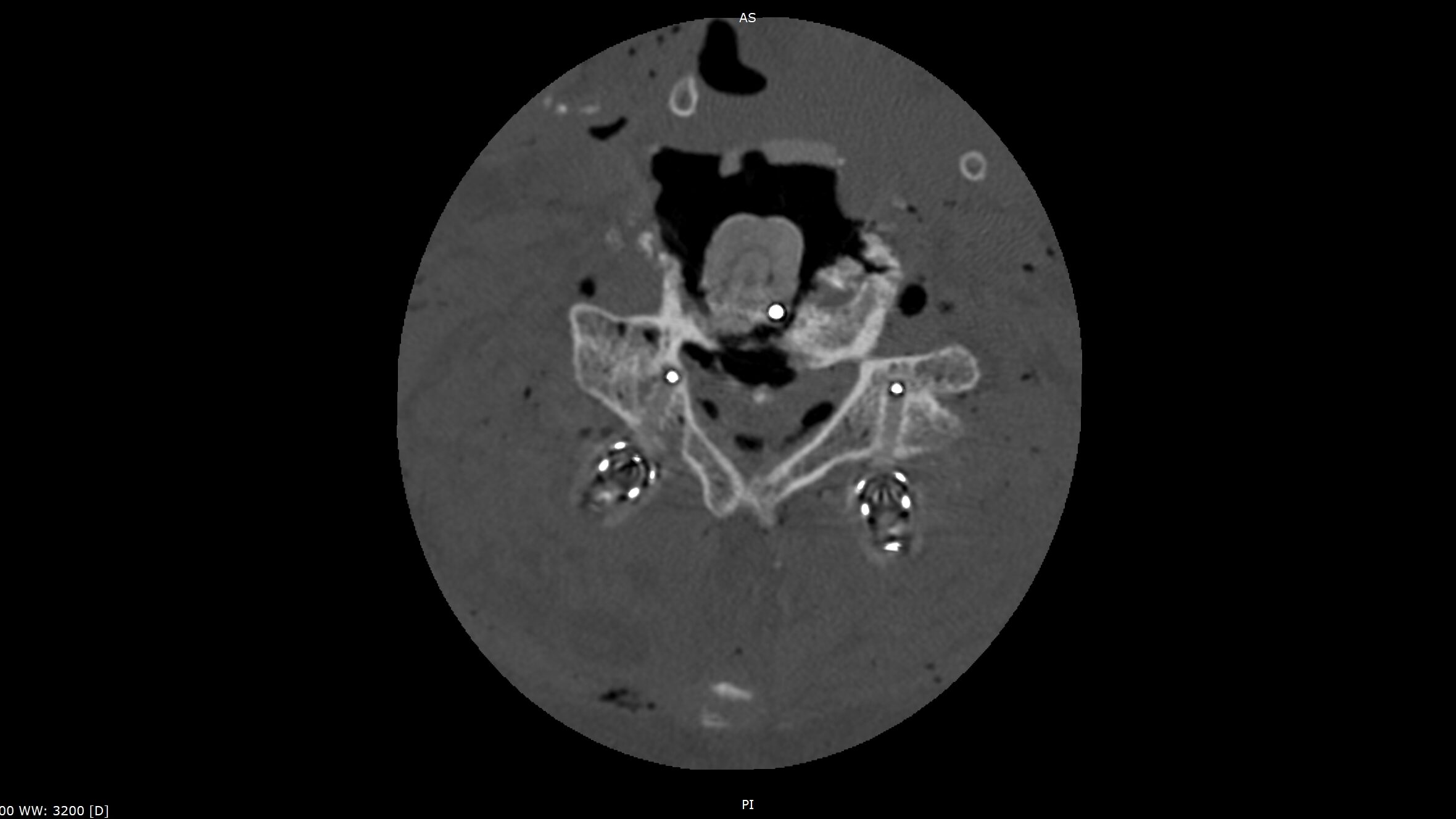
The CMORE® Cervicothoracic (CT) System is an enhanced set of instruments and implants for posterior stabilization of the cervicothoracic spine. The world’s first spinal implants made of nonmetallic and radiolucent BlackArmor® technology now enable a full spectrum of treatment modalities in adjuvant tumor therapy and enhance postoperative imaging diagnostics in the cervicothoracic spine.
Consisting of a full portfolio of polyaxial screws, straight and precontoured rods, axial and parallel connectors, the CMORE® CT System provides the versatility needed to accommodate variations in patients’ anatomy and pathology.
Benefits and Characteristics
Tumor Treatment
- BlackArmor® material is radiolucent in all diagnostic imaging modes and facilitates adjuvant radiation treatment
Seamless Connection
- Transition between CMORE® CT and VADER® Pedicle System by a variety of BlackArmor® Carbon/PEEK connectors
BlackArmor® Carbon/PEEK tulip
- The first tulip made of BlackArmor® material for artifact-free CT and MRI imaging
Enhanced bone fixation
- Proprietary Ti-iT® titanium coating promotes increased surface area for targeted osseointegration
A complete list of indications, contraindications, warnings, and precautions can be found in the instructions for use. The implant-specific reference numbers are listed on the factsheets. Not every product is available in every country. For more information, please contact your local icotec representative and/or contact us.



